כיצד אוכל לדעת אם דרוש לי טיפול?
כמו בכל מקרה של טראומה בפה, עליכם להתייעץ מייד עם רופא השיניים שלכם כדי להחליט האם יש צורך בטיפול. במידה ואתם סובלים מכאבים משן שבורה או סדוקה, תוכלו ליטול משכך כאבים ללא מרשם רופא. אם אפשר, שמרו כל שבר שנפל מהשן והביאו אותו אל רופא השיניים.
אם כתוצאה מפציעה נעקרה לכם שן לחלוטין ממקומה, מומלץ לקחת את השן לרופא השיניים בהקדם האפשרי. ייתכן שיתאפשר להתקין את השן מחדש בפה, בהליך של החדרה מחדש (ראימפלנטציה).
כיצד מטפל רופא השיניים במקרים הבאים:
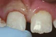
שבר בשן —במידה ואין כאבים והשבר קטן, ההחלטה היא שלכם - אם, מתי וכיצד לתקן את השן. הדבר תלוי גם בגודל השבר, אך ניתן להחליק או לתקן אותו קוסמטית. אפשרויות נוספות כוללות ציפויים, כתרים וסתימות. בקשו מרופא השיניים שלכם לפרט לכם אודות אפשרויות אלו. במידה והשבר הוא בסתימה או בשן מלאכותית, יש להחליפה.
שן סדוקה או שבורה —שיניים סדוקות ושבורות מחייבות תיקון בהקדם האפשרי על מנת למנוע נזק נוסף. יתכן שיהיה צורך בטיפול שורש או בעקירת השן. במקרים רבים שבהם הסדק פוגע באמייל ובדנטין של השן, הרכבת כתר היא הטיפול הטוב ביותר. זיכרו שהסדקים אינם תמיד נראים לעין, אפילו לא בצילומי רנטגן. התסמינים עשויים לכלול כאבים בזמן לעיסה, רגישות למזון ונוזלים קרים ולפעמים גם חמים, וכן רגישות לאוויר קר. עם הזמן עלולה הרגישות להתגבר.
שן שנעקרה ממקומה —המפתח להצלחה בהחדרה מחדש של השן הוא השבתה בהקדם האפשרי לשקע שממנו נעקרה. בכל רגע שחולף מתים תאים נוספים בשורש השן. במידה והדבר אפשרי, שטפו את השן במים בלבד, החדירו אותה למקומה והגיעו במהירות האפשרית לטיפול אצל רופא שיניים. כשמרימים את השן יש לאחוז בכתר בלבד ואסור להניח לה להתייבש. הסיכויים הטובים ביותר להצלחה הם כאשר ההחדרה מחדש מתבצעת במהלך שלושים הדקות הראשונות. הסיכויים עדיין טובים בטווח זמן של עד שעתיים. יתכן שרופא השיניים יצטרך לבצע טיפול שורש שבוע עד שבועיים לאחר ייצוב השן.
לשיניים שנעקרו לצמיתות, אם בעקירה על ידי רופא השיניים או כאלו שנעקרו בתאונה, חייבים להתקין תחליף. זאת כדי למנוע קשיים בלעיסה ובדיבור, שינוי במיקום של שיניים אחרות, הפרעות במפרק הלסת (TMJ) שנגרמות על ידי לעיסה בצד שבו יש יותר שיניים, והיחלשות של עצם הלסת. האפשרויות לתחליפי שיניים שאבדו כוללות גשרים, שיניים תותבות ושתלים.
לסת שבורה —במידה ומתעורר בכם חשד שאתם או מישהו אחר סובל מלסת שבורה, אל תזיזו אותה. יש לקבע אותה במקומה הנוכחי באמצעות מטפחת, עניבה או מגבת שאותה קושרים סביב הלסת ועל הראש למעלה. יש להשתמש בקומפרסים קרים על מנת להפחית נפיחות, במידה ויש כזו. סעו מייד לחדר מיון בבית חולים או התקשרו לרופא השיניים שלכם.
שן קדמית שבורה
שן שבורה לאחר תיקון
שן קבע שנעקרה ממקומה בתאונה
החדירו מחדש את השן למקומה בזהירות רבה וגשו מייד לרופא השיניים


